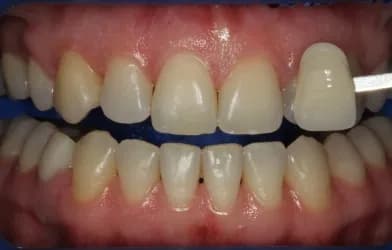
Отбеливание зубов Zoom 4
- Безопасная и комфортная процедура
- Отбеливание за 1 час
- Сохранение результата до 5 лет

Проблемы
Вероятно, вы уже столкнулись с проблемами из-за трудностей с зубами
Пожелтение эмали
Естественные процессы и питание продолжат окрашивать зубы, усиливая их тусклый и желтоватый оттенок.
Дискомфорт
Из-за потемнения зубов появится неуверенность в общении и желание меньше улыбаться.
Неприятный внешний вид
Желтые зубы могут вызвать негативное впечатление, особенно при встречах с новыми людьми.
Ухудшение гигиены
Несвежий вид зубов может снизить мотивацию к поддержанию тщательной гигиены полости рта.
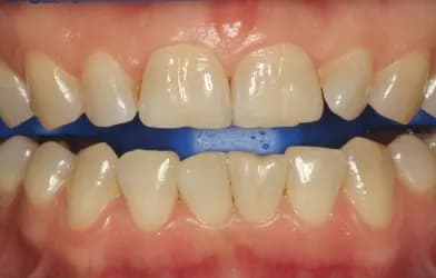
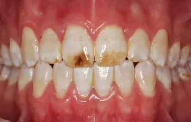
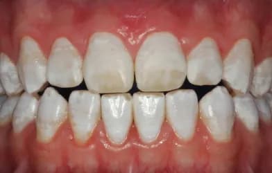
Наши работы
Преимущества исправления прикуса
Уверенность в себе
Белоснежная улыбка улучшит ваше самочувствие и повысит уверенность при общении с окружающими.
Привлекательность
Ослепительная улыбка сделает вас более привлекательным для других людей, включая коллег и друзей.
Мотивация к уходу
Вы начнете более тщательно следить за гигиеной полости рта, чтобы сохранить достигнутый эффект.
Профессиональный успех
Ухоженная внешность положительно скажется на вашем имидже, открывая новые возможности на работе.
Начните новую жизнь
с безупречной улыбкой
Оставьте заявку прямо сейчас, чтобы узнать больше

Чистка зубов
Пройдите небольшой тест и узнайте, сколько будет стоить в вашем случае

Ваши ответы дадут возможность лучше понять ваши потребности и желания, чтобы предложить наилучшее решение для создания идеальной улыбки
Отзывы пациентов
Отбеливание зубов в клинике Первые
Если вы хотите сиять уверенной и здоровой улыбкой, профессиональная чистка и отбеливание зубов в нашей клинике — идеальный выбор. В клинических условиях вы получите не только ослепительный результат, но и заботу о здоровье полости рта. Почему лучше выбрать нашу клинику для этих процедур?
Комплексный уход за здоровьем зубов
Профессиональная чистка удаляет зубной камень, налет и бактерии, предупреждая развитие кариеса и воспаление десен. Это важный шаг к долгосрочному здоровью ваших зубов.
Современные безопасные технологии отбеливания
Мы используем проверенные методы и безопасные материалы, которые не повреждают эмаль, обеспечивая длительный и видимый эффект осветления на несколько тонов.
Квалифицированные специалисты
Наши стоматологи — профессионалы с большим опытом, которые подбирают индивидуальный план ухода, учитывая особенности ваших зубов и десен.
Комфорт и быстрое выполнение
Процедуры проходят в уютной атмосфере, занимают минимальное время, и вы уходите с яркой, освеженной улыбкой уже после одного визита.
Показания и противопоказания
Показания
Эстетические недостатки
Желтизна зубов, возникающая в результате употребления красящих продуктов и напитков (кофе, чай, вино и т. д.).Наличие темных пятен или налетов, вызванных курением или плохой гигиеной. Флюороз (матовые пятна на зубах) или другие визуальные дефекты эмали.
Противопоказания
Заболевания зубов и десен
Наличие кариеса, пульпита, периодонтита, а также воспалительных процессов в деснах является противопоказанием. Сначала нужно пройти лечение стоматологических заболеваний.
Этапы как формируется стоимость протезирования
Цены на отбеливание зубов
Гигиена и отбеливание
Микроабразия одного зуба
0 ₽
Профессиональная гигиена полости рта и зубов (выраженный налет)
0 ₽
Профессиональная гигиена полости рта и зубов (первичная)
0 ₽
Профессиональная гигиена полости рта и зубов (повторная)
0 ₽
Профессиональная гигиена полости рта и зубов (после ортодонтического лечения)
0 ₽
Профессиональное отбеливание зубов системой Beyond Polus
0 ₽
Профессиональное отбеливание зубов системой Opalescence (домашнее отбеливание)
0 ₽
Профессиональное отбеливание зубов системой Zoom-4
0 ₽

Не привязаны
к одному варианту
Подберем оптимальный вариант и назовем точную стоимость на консультации
Чем дороже, тем он лучше?
Оставьте контакты
Мы свяжемся с вами и подберем удобное время встречи
Или звоните ежедневно 10:00-20:00 по телефону:
+7 (995) 129-91-59Закрепляем услуги
и стоимость в договоре
Цена останется постоянной, даже в случае неожиданного роста курса валюты или других изменений на рынке
Пример договора
Лицензия на медицинскую практику
№ Л041-01137-77/00344500 от 20.02.2019 г. выдана Департаментом здравоохранения города Москвы
Пример договора
Сертификаты
Узнайте стоимость лечения без визита
в клинику
Загрузите фото улыбки или прикуса вашего ребёнка — фронтально, при хорошем освещении. Наши специалисты посмотрят снимок и дадут предварительную оценку стоимости лечения.
Вопросы
Желтизна зубов может возникать как из-за внутренних факторов, таких как удаление нерва, ухудшение состояния здоровья или прием антибиотиков (например, тетрациклина), так и из-за внешних причин — плохой гигиены, курения и частого употребления чая, кофе и других продуктов, содержащих красители.
Также потемнение эмали может быть вызвано возрастными изменениями: истончение зубной эмали с годами приводит к тому, что более темный дентин становится видимым. Попытки отбеливания с использованием «народных методов» могут не только не принести ожидаемого результата, но и повредить защитный слой зубов.
Еще одной причиной потемнения может быть неправильный выбор средств ухода за зубами, что приводит к накоплению отложений на эмали. Кроме того, желтизна может быть природной, не зависящей от гигиены, вредных привычек или рациона. Такие зубы могут выглядеть непривлекательно, несмотря на их здоровье и крепость.
Постоянное употребление воды с высоким содержанием фтора, работа на вредных производствах и плохие экологические условия могут вызывать образование белых пятен. Темные пятна могут появляться из-за накопления опасных веществ, таких как ртуть, бром и свинец, при регулярном попадании в организм.
Команда
О компании
Стоматологическая клиника «Первые» — это центр экспертной стоматологии в Новосибирске, где мы создаём здоровые и красивые улыбки для всей семьи. Наша философия основана на трёх принципах: доказательная медицина, безупречное качество и доступные цены за счёт собственного производства.
Мы не просто применяем мировой опыт, а адаптируем и совершенствуем его благодаря уникальным для региона возможностям.
Наши ключевые отличия:
Собственное производство ортодонтических аппаратов. Мы являемся не только клиникой, но и производственным центром. Это позволяет нам:
Изготавливать пластинки, трейнеры, элайнеры и другие аппараты с максимальной точностью и в сжатые сроки.
Гарантировать контроль качества на каждом этапе.
Предлагать нашим пациентам ортодонтическое лечение по оптимальной цене, минуя посредников. Вы получаете лечение «напрямую от производителя».
Экспертиза в детской ортодонтии. Мы считаем раннюю коррекцию прикуса фундаментом здоровья на всю жизнь. Наша команда ортодонтов специализируется на работе с детьми, используя современные методики и аппараты собственного изготовления. Это выводит качество детской ортодонтической помощи в Сибирском регионе на новый уровень.
Высокоэстетичная реставрация в авторской лаборатории. Наша зуботехническая лаборатория — это гордость клиники. Все работы по созданию виниров, коронок и протезов выполняются лично собственником компании и главным техником с 12-летним стажем. Их главный принцип: «Главное — эстетика». Каждая реставрация — это кропотливая ручная работа, где важна не только функция, но и безупречная естественность, гармония с чертами лица пациента.
Партнёрство с другими клиниками. Наше производство настолько востребовано, что мы обеспечиваем ортодонтическими аппаратами и лабораторными работами ряд клиник Новосибирска. Однако самые выгодные условия всегда ждут наших собственных пациентов в стенах клиники «Первые».
Наша миссия: Выстраивать с пациентами долгосрочные отношения, основанные на доверии, взаимном уважении и комфорте. Мы стремимся сделать передовую стоматологию доступной, чтобы в самые важные моменты жизни вы могли уверенно и радостно улыбаться.
Выбирая «Первых», вы выбираете: технологичность собственного производства, экспертизу ведущих специалистов и выгоду прямого сотрудничества с изготовителем.
Врачи клиники с докторскими диссертациями
Авторские Виниры
Лучшая детская ортодонтическая клиника в регионе
Собственная зуботехническая лаборатория
Наши соцсети
Подписывайтесь на Telegram-канал основателя и руководителя Первые — Романа Зайкова, чтобы узнать больше о жизни клиники, познакомиться с командой и увидеть реальные кейсы создания безупречных улыбок.
Новосибирск, Большевистская 35
+7 (995) 129-91-59





















